researcher pointing at a computer screen
By Mohammed Ismail, MD

What Is Ischemic Stroke with Tandem Occlusion?

One blocked blood vessel in the brain can be enough to cause an ischemic stroke, leading to significant, life-long complications and death.

About 10% to 20% of ischemic strokes involving large vessels comprise two blocked vessels—a condition called tandem occlusion. This is when a blood vessel in the brain and another in the carotid artery of the neck are occluded or severely narrowed, causing a stroke.

In New Mexico, however, we see tandem occlusion in as many as 25% of ischemic stroke patients with large vessel occlusions at UNM Health Sciences Center, due in part to our diverse patient population.

Patients with Native American heritage and Caucasians, among other risk factors, are at increased risk of this condition. That is why we participate in studies such as the PICASSO clinical trial—a groundbreaking research study to improve care for people at high risk of ischemic stroke with tandem occlusion—and others.

Symptoms of an ischemic stroke with tandem occlusion are the same as other types of stroke and can include:

  • Balance—Check for difficulties
  • Eyesight—Check for sudden changes in vision
  • Face drooping—Ask the person to smile. Is one side uneven?
  • Arm weakness—Ask the person to lift their arms. Is one drifting downwards?
  • Speech difficulty—Ask the person to repeat a simple phrase. Is their speech slurred or strange?
  • Time—Every second counts. Time lost is brain lost.

UNM Health Sciences Center is home to the only primary stroke center in New Mexico, and time is of the essence when it comes to stroke care. Call 911 immediately if you notice symptoms in yourself or a loved one.

What Causes Ischemic Stroke with Tandem Occlusion?

Arterial plaque is a common culprit when more than one blood vessel blockage is involved in an ischemic stroke. Those living with atherosclerosis (hardening of the arteries) or stenosis (narrowing of the blood vessels) are at increased risk. These patients also have plaque buildup and narrowing in other large arteries of the body in addition to carotid arteries, such as coronary arteries or peripheral arteries of the legs and hands.

Patients with heart conditions on top of genetic risk factors—such as African American, Hispanic, American Indian or Alaska Native heritage—should talk with a doctor about what they can do to reduce the chance of having a stroke.

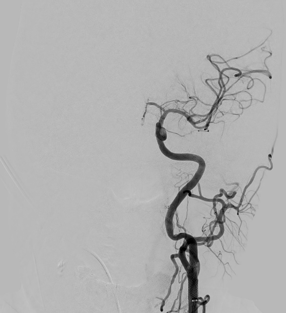
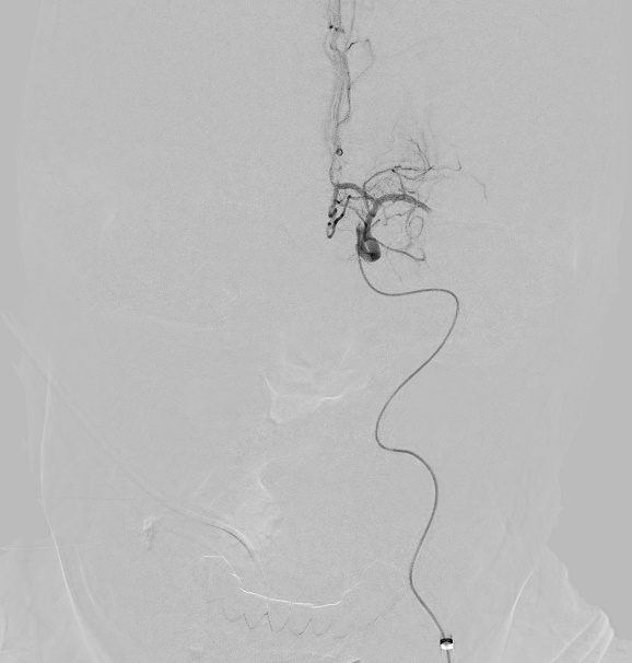
When plaque buildup from a carotid artery breaks apart and travels to a vessel in the brain, the race is on to open both of those clogged passages so oxygenated blood can recirculate as quickly as possible and minimize the size of brain stroke.

 

Related reading: ‘Hispanic Mutation’” Why New Mexico Is an Epicenter for Stroke, Migraine and Seizures

 

 

A microscopic photo illustrating carotid artery blockage
1- Carotid artery blockage in neck
a microscopic photo illustrating left middle cerebral artery clot
2- Left middle cerebral artery clot
a microscopic photo illustrating stent in carotid artery and clot removed from middle cerebral artery
3- Stent in carotid artery and clot removed from middle cerebral artery

How Is Tandem Occlusion Treated?

Mechanical thrombectomy is the usual treatment when an ischemic stroke only involves one large brain-vessel blockage. It involves threading a catheter through the groin or wrist to reach the occluded vessel and remove the blood clot.

Treatment is more complex when a patient suffers a stroke with tandem occlusion. Doctors must decide between two endovascular options, treat the neck first or treat the brain first. Studies have shown benefits to both approaches:

  • Neck first: For the antegrade approach, a balloon and stent are used to open the blocked carotid artery. Next, the blockage in the brain vessel is removed by threading a catheter through that freshly opened neck artery to the blood clot in the brain.
  • Brain first: For the retrograde approach, the goal is to get the brain reoxygenated as quickly as possible to prevent further damage. A balloon is used to open the neck blockage just enough to get a catheter through to the brain blood clot. Once the brain vessel blockage is cleared, the doctor can back track to the ballooned neck artery and open it more firmly with additional ballooning and/or a stent.

Studies so far have shown patents with tandem occlusion treated with acute stenting of the internal carotid artery have favorable outcomes, despite a higher risk for some complications, but high quality randomized clinical data is lacking. Research has also demonstrated that patients with tandem occlusions have better outcomes at three months with a retrograde approach than antegrade.

The path forward depends on each patient’s unique case. In either approach, when a metal stent is used to keep the carotid artery open, the person needs blood thinners to prevent blood clots from forming in the stent which also carries the risk of bleeding in the stroked brain tissue. It is not clear from research so far whether it is better to just balloon the carotid artery or put a stent in it; treatment options are usually individualized to specific patient scenario. This specific question will be answered by the trial.

 

Related reading: STEP into the Future of Ischemic Stroke Treatment

 

Clinical Trials Offer Patients and Trainees Opportunities

UNM Health Sciences Center participates in clinical trials to advance science and to offer our patients access to leading treatments before they are available to the public. Our trainees also benefit, starting their careers by working hands-on at the forefront. 

We were recently named a site for the PICASSO clinical trial. The study explores acute endovascular treatment options for patients with tandem occlusion. As an acute stroke treatment study, this trial will help answer this difficult question and is taking positive steps forward for stroke care.

This trial is just one example of how trainees at UNM Health Sciences Center have access to advanced research opportunities. Here, vascular neurology trainees experience leading scientific advances, while caring for a diverse patient population uniquely prone to this and other complex neurological conditions.

Explore your options for neurology training. Schedule a call with a representative from the UNM HSC Department of Neurology today. Book now. 

Categories: Neurology