patient receiving a CT scan
By Mohammed Ismail, MD

Endovascular Embolization: An Effective Treatment for Chronic Subdural Hematoma

A brain bleed, or subdural hematoma, is when vessels rupture between the skull and brain, causing blood to pool. It can come on suddenly after a traumatic brain injury or could be a recurring neurological disorder. If left untreated, a subdural hematoma could cause significant complications such as: 

  • Brain pressure
  • Confusion
  • Difficulties with speech, vision, or hearing
  • Weakness in arms and/or legs
  • Losing consciousness
  • Nausea, vomiting
  • Seizures

Until recently, treatment for acute (sudden) or chronic (recurring) cases has largely been the same: hematoma evacuation with burr hole craniotomy. In this procedure, the neurosurgeon creates small holes in the skull through which pooled blood can drain, relieving dangerous pressure on the brain. 

Exciting new studies show an endovascular alternative and/or adjunctive treatment—embolization—is revolutionizing treatment for people who live with subacute or chronic subdural hematoma. And this treatment is available at University of New Mexico Health Sciences Center. 

Endovascular embolization procedures are less invasive than open surgery, and data suggest it can reduce recurrence of subdural hematoma from 50% to less than 20% in some cases. 

What Causes Subdural Hematoma?

A traumatic blow to the head—such as a hard fall or car accident—is a common cause of brain bleeds. Non-injury causes can include:

  • Advanced age
  • Heavy alcohol use
  • Long-term use of blood thinners

The brain is protected beneath the skull by an intricate network of vessels and membranes called the cerebral meninges. When a vessel ruptures within this supportive cushion, blood can collect between the skull and one of those protective layers called the dura mater.

Sometimes brain bleeds are minor and heal on their own. But in some cases, without medical intervention, subdural hematomas can create pressure that shifts and damages the brain.

 

Related reading: The Loudest Silence: How Aphasia Complicates Communication After Brain Injury

An Effective Treatment for Chronic Subdural Hematoma

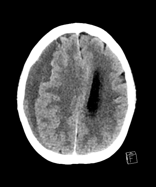
CT Scan print Pre treatment - subdural hematoma

Pre treatment CT head: subdural hematoma

Pre-embolization angiogram
Pre-embolization angiogram
Post embolization angiogram: occluded middle meningeal artery
Post embolization angiogram: occluded middle meningeal artery
Post embolization angiogram: coil in middle meningeal artery

Post embolization angiogram: coil in middle meningeal artery

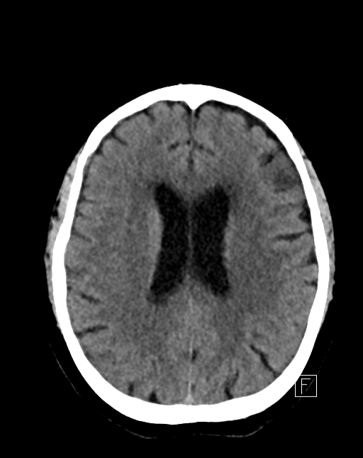
Post treatment CT head: normal
Post treatment CT head: normal

How Does Endovascular Embolization Treat Subacute or Chronic Subdural Hematoma?

Endovascular embolization is a procedure to stop further bleeding and prevent recurrence. In this procedure, an interventional neurologist or endovascular neurosurgeon makes a 2mm incision in the wrist or groin and threads a tiny tube called a catheter through the blood vessels to the neck and head. It goes into the middle meningeal artery, which supplies the brain coverings/meninges.

Once there, there are typically three ways to proceed with embolization, and all of them start in the middle meningeal artery—a main supplier for the rich capillary network of the meninges. Once the artery is occluded, the balance between blood re-accumulation and reabsorption is shifted in favor of reabsorption, and the subdural hematoma resolves over the next few weeks to month as is evident on repeat CT scans. 

  1. Inject minuscule particles, smaller than a grain of salt
  2. Use liquid embolic agents such as polymers (medical adhesive).
  3. Place small coils in the artery to block it.

According to recent studies published in the Journal of Society of NeuroInterventional Surgery, embolization of chronic subdural hematoma creates an opportunity for the brain to reabsorb the pooled blood while preventing re-formation at the same time.

Experience Providing Advanced Care

As home to New Mexico’s only comprehensive stroke care center, and state-of-the-art facilities such as our neurosciences intensive care unit, our vascular neurology fellows, residents, and trainees have access to innovative treatments and a diverse patient population.

Trainees who are passionate about life-enhancing care will find UNM Health Sciences Center rich with medical training opportunities and experiences to advance your career.

Explore your options for neurology training. Schedule a call with a representative from the UNM HSC Department of Neurology today. Book now.

 

 

 

Categories: Neurology